Zum Inhalt springen
Logo vom Diepmannsbachtal
  • News
  • Über uns
  • Hunde
    • Ilarya
    • Fehmke
    • Bjarka
    • Zwaantje
    • In Memoriam
  • Zucht
    • Zuchtziele
    • Aufzucht
    • Wurfplanung
    • Aktueller Wurf
    • Bisherige Würfe
    • Chronik
    • Zuchterfolge
  • Galerie
  • Infothek
    • Fütterung
    • Ja zum SSV
    • Der Genomtest
    • Links
  • Kontakt
  • News
  • Über uns
  • Hunde
    • Ilarya
    • Fehmke
    • Bjarka
    • Zwaantje
    • In Memoriam
  • Zucht
    • Zuchtziele
    • Aufzucht
    • Wurfplanung
    • Aktueller Wurf
    • Bisherige Würfe
    • Chronik
    • Zuchterfolge
  • Galerie
  • Infothek
    • Fütterung
    • Ja zum SSV
    • Der Genomtest
    • Links
  • Kontakt
  • Zuchtziele
  • Aufzucht
  • Wurfplanung
  • Aktueller Wurf
  • Würfe
  • Chronik
  • Zuchterfolge
  • Zuchtziele
  • Aufzucht
  • Wurfplanung
  • Aktueller Wurf
  • Würfe
  • Chronik
  • Zuchterfolge

Wurfplanung

Die Eltern

 

 

Mia Belline´s Balou Aktueller Wurf
Mia Belline´s Balou
Wurftag 06.11.2020
Röntgen HD-A1 / ED-normal / OCD-frei
GZW L-108 /HD-81 / ED-86
MH A-84
Ilarya Vom Diepmannsbachtal
Ilarya Vom Diepmannsbachtal
Wurftag 08.06.2024
Röntgen HD-A1 / ED-normal /
GZW Sind beantragt!
MH Ist beantragt

Ahnentafel

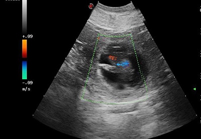
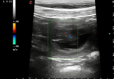
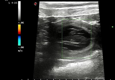
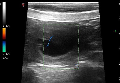
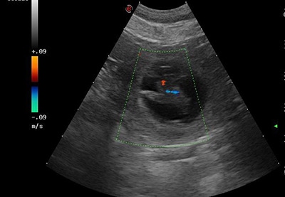
K2 Fruchtanlage 2
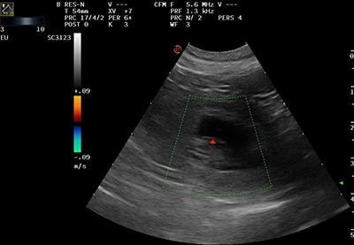
K2 Fruchtanlage 6
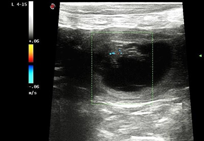
K2 Fruchtanlage 4
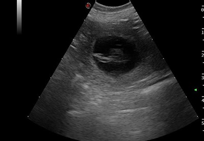
K2 Fruchtanlage 7
K2 Fruchtanlage 3
K2 Fruchtanlage 8
K2- Fruchtanlage
K2 Fruchtanlage 9
K2 Fruchtanlage 5

VEREINE & VERBÄNDE

SSV e.V.     VDH     FCI

WIR FÜTTERN

Reico Vital Systeme
  • Datenschutz
  • Impressum
Copyright [oceanwp_date] - Berner vom Diepmannsbachtal | made with ♥ by pets@web