Zum Inhalt springen
Logo vom Diepmannsbachtal
  • News
  • Über uns
  • Hunde
    • Ilarya
    • Fehmke
    • Bjarka
    • Zwaantje
    • In Memoriam
  • Zucht
    • Zuchtziele
    • Aufzucht
    • Wurfplanung
    • Aktueller Wurf
    • Bisherige Würfe
    • Chronik
    • Zuchterfolge
  • Galerie
  • Infothek
    • Fütterung
    • Ja zum SSV
    • Der Genomtest
    • Links
  • Kontakt
  • News
  • Über uns
  • Hunde
    • Ilarya
    • Fehmke
    • Bjarka
    • Zwaantje
    • In Memoriam
  • Zucht
    • Zuchtziele
    • Aufzucht
    • Wurfplanung
    • Aktueller Wurf
    • Bisherige Würfe
    • Chronik
    • Zuchterfolge
  • Galerie
  • Infothek
    • Fütterung
    • Ja zum SSV
    • Der Genomtest
    • Links
  • Kontakt
Mehr über den Artikel erfahren Das Geheimnis ist gelüftet…..
Ein K2-Wurf Kind in Sicht

Das Geheimnis ist gelüftet…..

  • Beitrag veröffentlicht:3. Januar 2026

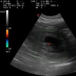
Am 22.01.20265 waren wir mit Ilarya Vom Diepmannsbachtal zur Trächtigkeitsuntersuchung in Dortmundunser. Dabei wurden 9-10 Fruchtanlagen gezählt. Wir freuen uns jetzt auf eine weiterhin ruhige Trächtigkeit und eine gute Geburt! Zur…

WeiterlesenDas Geheimnis ist gelüftet…..

Neueste Beiträge

  • Das Geheimnis ist gelüftet…..
  • Und schon ist wieder Weihnachten….
  • Die Röntgenergebnisse unseres I2-Wurfs liegen jetzt vor.

Archiv

  • Januar 2026
  • Dezember 2025
  • September 2025
  • Juni 2025
  • Mai 2025
  • April 2025
  • März 2025
  • August 2024
  • Juni 2024
  • Mai 2024
  • April 2024
  • Februar 2024
  • Dezember 2023
  • Juli 2023
  • April 2023
  • Januar 2023
  • November 2022
  • Oktober 2022
  • September 2022
  • Juli 2022
  • April 2022
  • März 2022
  • Februar 2022
  • November 2021
  • Oktober 2021
  • August 2021
  • Mai 2021
  • April 2021
  • März 2021
  • Februar 2021
  • November 2020
  • September 2020

Kategorien

  • Allgemein
  • Hunde
  • Welpen

VEREINE & VERBÄNDE

SSV e.V.     VDH     FCI

WIR FÜTTERN

Reico Vital Systeme
  • Datenschutz
  • Impressum
Copyright [oceanwp_date] - Berner vom Diepmannsbachtal | made with ♥ by pets@web